レッグ・カルベ・ペルテス病について
レッグ・カルベ・ペルテス病(Legg-Calvé-Perthes病)は、太ももの骨の先端(大腿骨頭)が壊死してしまう病気です。
血液の流れが一時的に悪くなり、骨の一部に栄養が届かなくなることで、骨が弱くなって変形してしまいます。
主に見られる犬種・年齢
主に**小型犬(トイ・プードル、ヨークシャー・テリア、ポメラニアンなど)**に多くみられ、
生後4〜12か月頃の成長期に発症することが多い病気です。
主な症状
・片方の後ろ足をかばって歩く、または足をつかなくなる
・足を引きずる、スキップのように歩く
・足の筋肉が落ちてくる(細くなる)
初めは軽い跛行(びっこ)から始まり、進行すると強い痛みを伴います。
診断
診断には**X線検査(レントゲン)**を行い、大腿骨頭の変形やつぶれ具合を確認します。
治療
軽度の場合は、安静・鎮痛剤・運動制限などで痛みを抑えることもありますが、
多くの場合は**外科手術(大腿骨頭切除術)**が必要になります。
この手術では、壊れて痛みの原因となっている骨の先端を取り除き、
その後、筋肉や線維組織で自然に「偽関節(柔らかい関節)」が形成されます。
術後のリハビリを行うことで、ほとんどの犬は痛みなく歩けるように回復します。
症例紹介
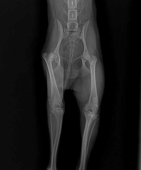
症例は 8ヶ月のヨークシャーテリアで1ヶ月前から片足を着いていないとの主訴で来院しました。


レントゲンを取ると右の股関節(左側)が変形していることが分かります。大腿骨頭が壊死している影響で痛みが出ている可能性が高い状態でした。左右の筋肉量を比較すると右足(左側)の筋肉が萎縮しており、長期間右後肢を使っていなかったことが分かります。
手術では大腿骨頭を切除します。骨盤の骨に当たらないかどうかを確認して、当たる部分は削り取っていきます。一般的に大腿骨頭切除を行うと、その後に股関節が不安定になり、大腿骨が背側にずれていく現象が見られることがありますが、術中に対処を行うことで当院ではその発生率を下げております。

術後は幹部にレーザー照射をすることで関節と組織の回復を促し、より早く足がつけるようにしていきます。
足のつき方がおかしい、跛行しているなどあればご相談ください。
