犬の肝細胞癌について
肝細胞癌(かんさいぼうがん)は、肝臓にできる腫瘍の中でも「原発性(=肝臓そのものから発生する)」の悪性腫瘍です。犬では比較的まれな腫瘍ですが、高齢の犬で見つかることが多い傾向にあります。
● 肝細胞癌の特徴
- 肝臓の細胞ががん化して大きく増殖します
- 腫瘍が**1か所に限局してできるタイプ(単発型)**と、**肝臓全体に広がるタイプ(多発型)**があります
- 単発型の場合は手術による切除が可能で、予後が良いケースもあります
● 症状について
初期の段階では、ほとんど症状が出ないことが多く、健康診断や他の病気の検査中に偶然見つかることがあります。進行すると以下のような症状が見られることがあります:
- 食欲が落ちる
- 体重が減る
- 元気がなくなる
- 嘔吐や下痢
- お腹が膨れる(腫瘍が大きくなることで)
- 黄疸(歯茎や白目が黄色っぽくなる)
● 診断方法
肝細胞癌の診断には以下のような検査を行います:
- 超音波検査やレントゲン検査:肝臓の腫れや腫瘍の存在を確認
- CT検査:腫瘍の正確な位置や大きさ、周囲の臓器との関係を見る
- 血液検査:肝機能のチェックや全身状態の確認
- 針吸引による細胞検査や**組織検査(生検)**で腫瘍の性質を詳しく調べることもあります
● 治療について
腫瘍のタイプや広がりによって治療方法が異なります。
- 単発型で他の臓器に転移がない場合は、外科手術で腫瘍を取り除くことが第一選択です。術後の経過が良ければ、長期的に元気に過ごせる可能性も十分あります。
- 多発型や転移がある場合は、手術が難しいため、対症療法(症状を和らげる治療)や緩和ケア、補助的な薬物療法が検討されます。
症例紹介
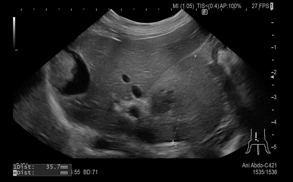
症例は9歳の柴犬でかかりつけにて肝臓に腫瘍が見つかったが、手術が難しいとのことで来院されました。


超音波で確認すると肝臓の基部に腫瘍が認められました。犬の肝臓腫瘍は肝細胞癌の可能性が高いので、摘出を行いました。
手術中の画像は肝臓の腫瘍を確認しているところです。かなり深い位置にあるため正中切開のみでは摘出できず、横にも切開を加えるメルセデス切開を行いました。肝臓の1葉全摘出を行い腫瘍ごと肝臓を摘出しました。摘出後の肝臓には腫瘍が基部にあることが分かります。
この症例は無事退院しており、再発がないかどうか経過観察中です。
肝臓の腫瘍の摘出手術などをご希望であれば一度ご来院ください。

