猫の高分化型リンパ腫について
猫のリンパ腫は、血液中のリンパ球という細胞が腫瘍化することで起こる病気です。その中でも高分化型リンパ腫は、比較的ゆっくりと進行するタイプとされています。
■ 特徴
高分化型リンパ腫は、急激に進行するタイプのリンパ腫とは異なり、
胃腸などの消化管に発生し、慢性的な症状を示すことが多いとされています。
主な症状には以下のようなものがあります。
- 食欲の低下
- 嘔吐や下痢
- 体重減少
- 元気の低下
これらの症状はほかの消化器疾患でも見られるため、診断には血液検査・画像検査・病理検査など総合的な評価が必要です。
■ 治療について
高分化型リンパ腫では、
ステロイド剤や**抗がん剤(クロラムブシルなど)**を用いた薬物治療が選択されることが多く、
比較的副作用が少ない範囲で症状のコントロールを目指します。
治療内容や頻度は、猫ちゃんの状態や反応に応じて個別に調整していきます。
■ 予後について
治療への反応には個体差がありますが、適切な治療により長期間の経過観察が可能になるケースもあります。
病気の進行度や治療への反応を確認しながら、生活の質(QOL)を保つことを大切に治療を進めます。
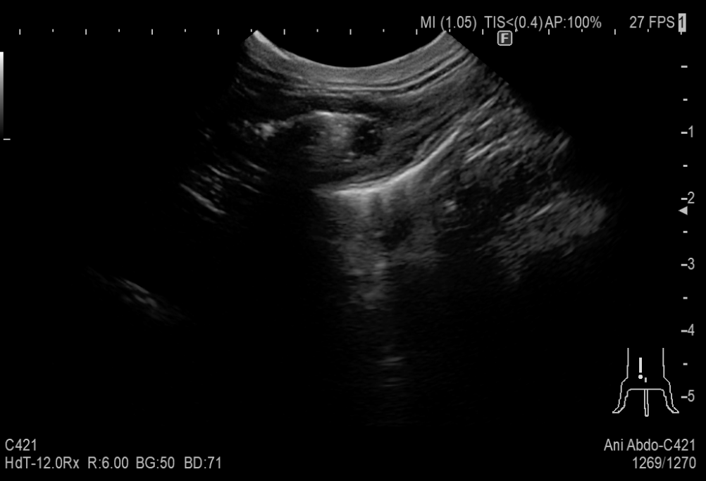
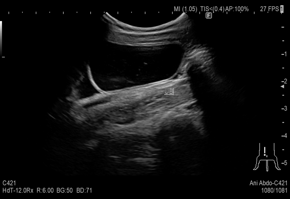
症例紹介
嘔吐を繰り返している8歳の猫が来院しました。


超音波検査にて消化管に腫瘍らしきできものが認められたため摘出を行いました。腹水が認められ、腹水の成分から腹腔内に炎症があることが分かりました。
腸の赤くなっているところが腫瘍と思われたところです。病理検査の結果、腸全体が腫瘍化しており赤いところは炎症でした。指で持っているのは腫れている腸間膜リンパ節です。
摘出するために腸に腸鉗子をかけているところです。
摘出して腸をつなぎ合わせたところです。
この症例はプレドニゾロンとクロラムブシルを使用しながら、腫瘍の再発は見られず、元気に過ごしております。猫の嘔吐、腫瘍が疑われる場合などは早めにご相談ください。

