気胸とは
気胸とは、本来は空気が入らないはずの胸の中(肺のまわり)に空気が入り、肺が十分に膨らめなくなる状態をいいます。
その結果、呼吸がしづらくなり、命に関わることもある緊急性の高い病気です。
主な症状
- 呼吸が早い、浅い、苦しそう
- 口を開けて呼吸する
- 動きたがらない、ぐったりしている
- チアノーゼ(舌や歯ぐきが紫色になる)
- 突然の元気消失
※症状の進行が早いこともあり、少しの変化でも注意が必要です。
気胸の原因
気胸は原因によって、いくつかに分けられます。
- 外傷性気胸
交通事故や高い所からの落下、噛まれ傷などによって起こります。 - 自然気胸
明らかな外傷がなく、肺の一部が破れることで起こります。
特定の犬種や高齢の動物でみられることがあります。
放置するとどうなるか
気胸を放置すると、肺が十分に機能できず、
- 重い呼吸困難
- 低酸素状態
- ショック状態
に陥る可能性があります。
治療について
治療は気胸の程度や原因によって異なります。
- 軽度の場合
酸素吸入や安静による管理で改善することがあります。 - 中等度~重度の場合
胸にたまった空気を抜く処置(胸腔穿刺)や、持続的に空気を排出する処置が必要になります。 - 再発や重症例
原因となっている肺の病変に対して、外科手術を検討することがあります。
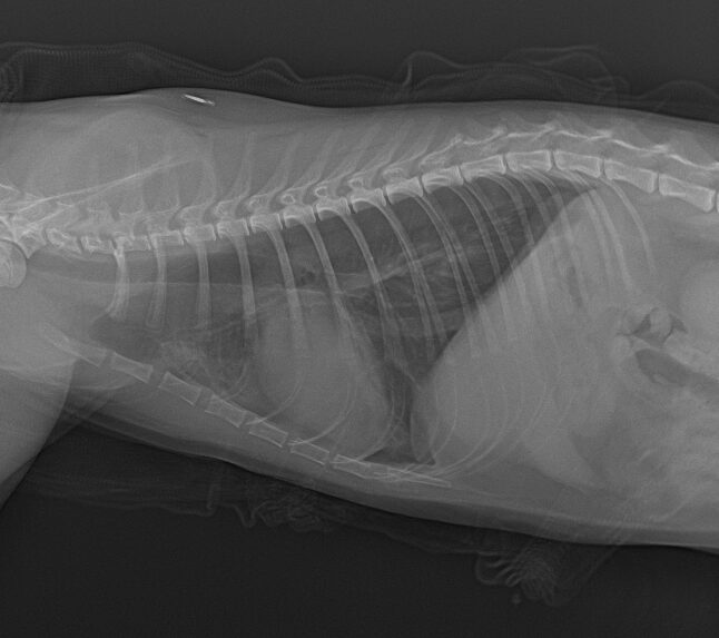
症例紹介
症例は生後約半年の猫で7階から落下したとのことで来院しました。



落下の衝撃で肺に穴が空いているようで気胸になっていました。気胸は程度により、無治療、ドレーン挿入、肺葉切除など様々なレベルの治療を行いますが、今回の症例は数日間ドレーンにより空気と胸水を抜去することで穴を塞ぐことができました。


落下の衝撃で指の骨が折れていたため肺の状態の回復を待って骨折の手術も行いました。この症例は翌日退院しております。