子宮蓄膿症と腹膜炎について
子宮蓄膿症は、子宮の中に細菌が入り、膿がたまってしまう病気です。
放置すると膿が子宮を圧迫し、やがて**子宮が破れてお腹の中に膿が漏れ出す(腹膜炎)**ことがあります。
腹膜炎が起こると、命に関わる重い状態になるため、迅速な治療が必要です。
■ 子宮蓄膿症の主な症状
子宮の中で炎症が進むと、次のような症状がみられることがあります。
- 水をたくさん飲む
- 食欲不振・元気がない
- 嘔吐
- お腹の張り
- 外陰部からの膿や分泌物(見られない場合もあります)
これは、高齢のメスの犬・猫に比較的多く見られる病気です。
■ 腹膜炎とは
子宮が破れ、中の膿が腹腔内に漏れ出すと、腹膜全体に強い炎症が広がり、全身の状態が急激に悪化します。
腹膜炎になると以下のような症状が現れることがあります。
- 急激な元気消失
- 発熱または低体温
- 強い脱水
- ぐったりして動かない
- ショック症状
この状態は非常に危険なため、緊急治療が必要となります。
■ 治療について
治療は、状況に応じて次のような方法を組み合わせて行います。
- 点滴・抗生剤などの全身状態の安定化
脱水の改善・感染のコントロールを目的に行います。 - 外科手術(卵巣子宮摘出手術)
一般的には、感染した子宮と卵巣を取り除く手術を行います。
腹膜炎がある場合、手術の難易度は高くなり、また術後の集中管理が必要となることがあります。
■ 予防について
最も確実な予防は、若い時期の避妊手術です。
避妊手術によって、子宮蓄膿症そのものの発生を防ぐことができます。
症例紹介
症例は3歳のプードルで体重は850gしかありませんでした。状態は悪く腹水も少し出ており腹膜炎の状態になっていました。


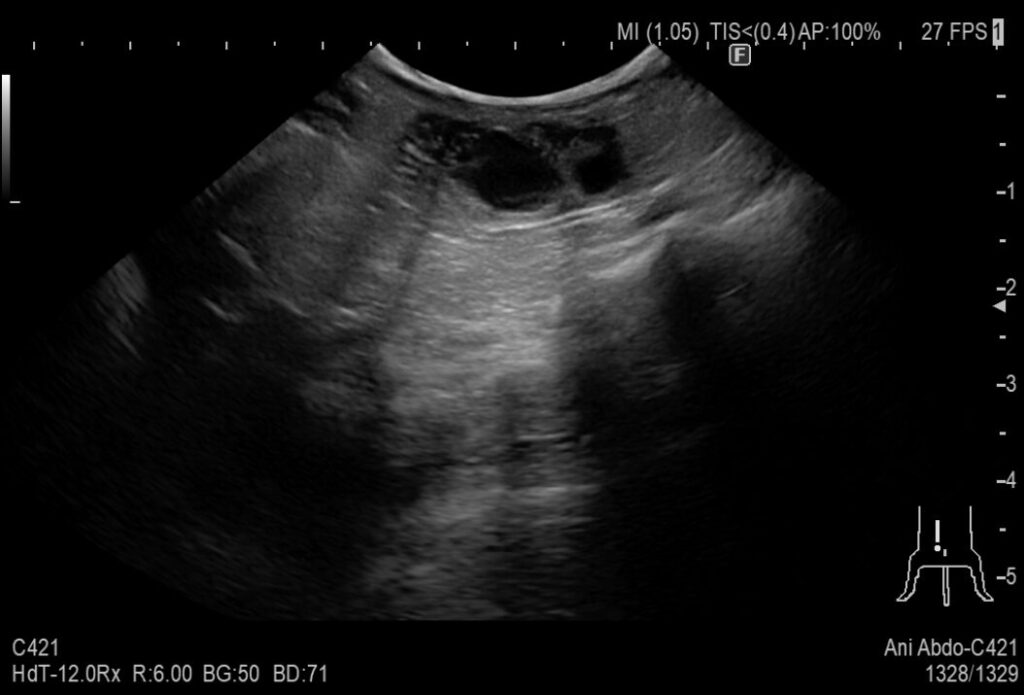
超音波検査では腫れた子宮が認められました。陰部からは大量の出血があり、貧血になっていたため緊急で手術を行いました。
子宮を摘出しているところです。子宮は過去に破裂した形跡があり大網が癒着していました。
摘出後の子宮です。中には膿がたまっていて、細菌培養検査と薬剤感受性検査をしたところ細菌の繁殖が見られました。
術後は腹膜炎の管理のためしばらく入院になりましたが、無事に退院することができました。
若齢や小型の動物が体調不良になった場合は早めにご相談ください。

